世語圖說
2025年10月04日
聯繫我們
首頁
家庭
心碎!台南女嬰一直被「退回」,好心阿嬤領養後竟然發現「意外」的事實
2025-07-30
管輝若
反饋
2
/
4
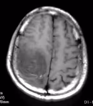
一次例行健康檢查後,醫生告訴何阿嬤,原來,這個寶寶患有重度身心障礙,除腦水腫外,還患有癲癇、過動、斜視等問題。
拿到殘障手冊當天,她抱著明琴崩潰大哭了很久。
上一頁
2
/
4
下一頁
兒媳住院公公照顧她...趁護士換藥,兒媳偷塞紙條,護士看過直接報警~
呂純弘 • 10K次觀看
三兄弟聯排房大哥家顯最小!!怒找父母理論,父親默默掏出「一張照片」後,全家跪地痛哭
喬峰傳 • 530次觀看
我40歲才明白:同事聚餐沒叫你,事後說「忘了叫你」,千萬別說「沒事」,聰明人會這樣說!
管輝若 • 1K次觀看
兒媳住院公公照顧她,趁護士換藥,兒媳偷塞紙條,護士看過直接報警!!
花伊風 • 230次觀看
爸爸出嚴重交通事故!在急診搶救後「醫生勸我們帶回家」 10年不見的姑姑出現「一句話救了爸爸一命」!
花伊風 • 670次觀看
中專同學聚會,班長問大家退休金,我說9000,當晚被踢出同學群!
舒黛葉 • 290次觀看
男子花2萬娶越南新娘,幾年後妻子過世,他的體檢報告讓全家人崩潰了~
舒黛葉 • 5K次觀看
妻子癱瘓 可每天襪子還很髒 丈夫暗地觀查後 直冒涼氣!!
花伊風 • 140次觀看
離婚2年,我一直找不到新對象!同學生日宴「偶遇前夫」想再續前緣...結果看到「車上下來1人」瞬間哭到崩潰!
舒黛葉 • 370次觀看
剖腹生龍鳳胎!孕婦縫合到一半「突喊等一下」醫護「湊近一看驚呆」當場愣住:真是奇蹟!!
花伊風 • 80次觀看
兒子入贅搬去親家!15年來每月寄4500回家「卻一次也沒回老家」...母親為了在臨走前見兒子一面,拖著病.體上門探望「敲開門她淚如雨下!」
舒黛葉 • 2K次觀看
自蓋「八層小別墅」,老兩口住在一層,其餘孩子各住一層,二媳婦背後閒聊:我家虧大了!!
喬峰傳 • 3K次觀看
水龍頭漏水請前夫來幫我修理!!中午留他下來吃飯「一走進臥室後」我…
呂純弘 • 240次觀看
爸爸出軌!患癌媽媽臨走前「要爸爸買房給我…」媽媽走後「爸爸轉頭就跟小三雙飛」現世報卻來了
呂純弘 • 5K次觀看
老婆停經三年多...然而那晚,我們同房不久後「床單竟然見紅」 覺得不對勁,「隔天帶她去醫院」整個人傻了
舒黛葉 • 2K次觀看
漂亮妻子買6條內褲,丈夫怒提離婚,婆婆:寧願兒子一輩子單身...
呂純弘 • 2K次觀看
發現老公帶小三出國!我不哭不鬧「打開銀行帳戶做兩件事」 隔天開機「有80通未接來電」來自他
呂純弘 • 750次觀看
漂亮妻子買6條內褲,丈夫怒提離婚,婆婆:寧願兒子一輩子單身!!
花伊風 • 60次觀看
公婆出資給兄弟倆蓋房,大嫂當場發飆說「偏心」!網友放大照片後卻一致認同:真的太過分!
呂純弘 • 206K次觀看
離婚一年後收到前妻喜帖!婚禮當天「我包了八萬六大紅包...」 婚禮上「她偷塞給我一張紙條」我哭到不能自已
呂純弘 • 970次觀看